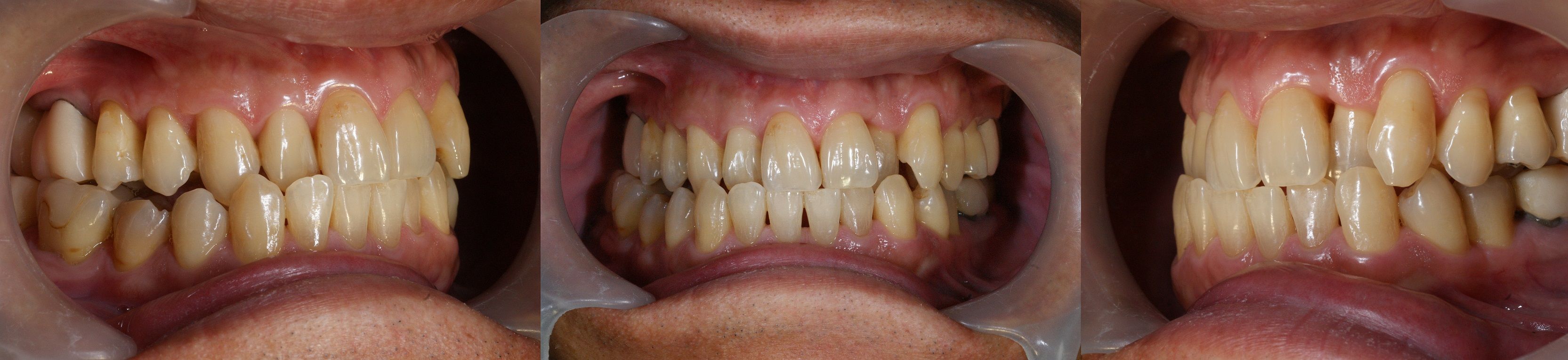
『半年前から右上奥歯が浮いた感じがする。』という主訴で来院された患者さん。口腔内所見の特筆すべき点として、噛み合せが Scissors bite(鋏状咬合)であることが挙げられます。


エックス線検査をすると歯周病があり、長年にわたり部分的な治療に終始していて、虫歯の治療を数年おきに、また歯石除去も治療のついでに受けてきたとのこと。


精密検査後、問題点を列記し、模型を咬合器上で診査してみると、歯の位置を変えたうえで咬合再構成をしないと、口腔内の健康の獲得と長期的維持は望めないと判断するにいたったため、患者さんに説明、同意を得、治療依頼があったので治療を開始した。
通法にしたがい、主訴に対する処置および必要なう蝕処置、根管治療等を行いながらブラッシング、歯石除去、根面滑沢化の歯周病初期治療を進めていった。

再評価の結果、一部の歯周ポケットに改善がみられるも歯周病を根絶するためには外科処置を回避することは不可能と判断し、そのむねを患者さんに説明、同意が得られたので必要な部位に歯周外科を行う。



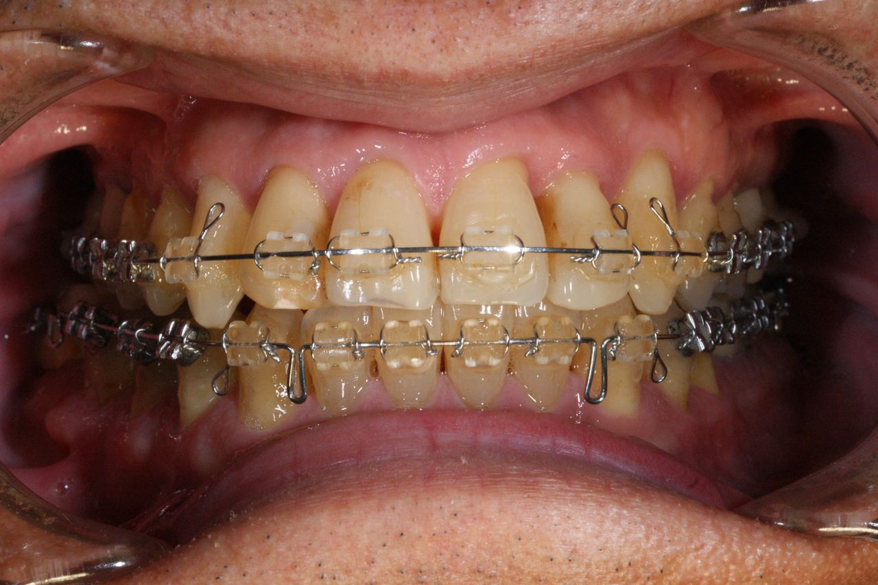
3か月後再評価し、炎症性物質が廓清されたものと判断したので、歯科矯正施術へのステージへと移行する。

歯科矯正終了後、補綴せずに問題が起こらないならそれが理想的だが、今回の治療以前に長年にわたり(初診時54歳)、歯列不正(鋏状咬合)の状態で歯が使われてきたため、咬耗(歯の嚙む面の摩耗)が不均一で、そのままでは安定した咬合の確立が得られないことが診断用ワックス アップにより確認される。また歯周治療後に残された骨吸収を原因とする歯の動揺を収束するためにも補綴の必要性が問われる。(大)



エックス線検査をすると歯周病があり、長年にわたり部分的な治療に終始していて、虫歯の治療を数年おきに、また歯石除去も治療のついでに受けてきたとのこと。


精密検査後、問題点を列記し、模型を咬合器上で診査してみると、歯の位置を変えたうえで咬合再構成をしないと、口腔内の健康の獲得と長期的維持は望めないと判断するにいたったため、患者さんに説明、同意を得、治療依頼があったので治療を開始した。
通法にしたがい、主訴に対する処置および必要なう蝕処置、根管治療等を行いながらブラッシング、歯石除去、根面滑沢化の歯周病初期治療を進めていった。

再評価の結果、一部の歯周ポケットに改善がみられるも歯周病を根絶するためには外科処置を回避することは不可能と判断し、そのむねを患者さんに説明、同意が得られたので必要な部位に歯周外科を行う。



3か月後再評価し、炎症性物質が廓清されたものと判断したので、歯科矯正施術へのステージへと移行する。

歯科矯正終了後、補綴せずに問題が起こらないならそれが理想的だが、今回の治療以前に長年にわたり(初診時54歳)、歯列不正(鋏状咬合)の状態で歯が使われてきたため、咬耗(歯の嚙む面の摩耗)が不均一で、そのままでは安定した咬合の確立が得られないことが診断用ワックス アップにより確認される。また歯周治療後に残された骨吸収を原因とする歯の動揺を収束するためにも補綴の必要性が問われる。(大)

コメント