


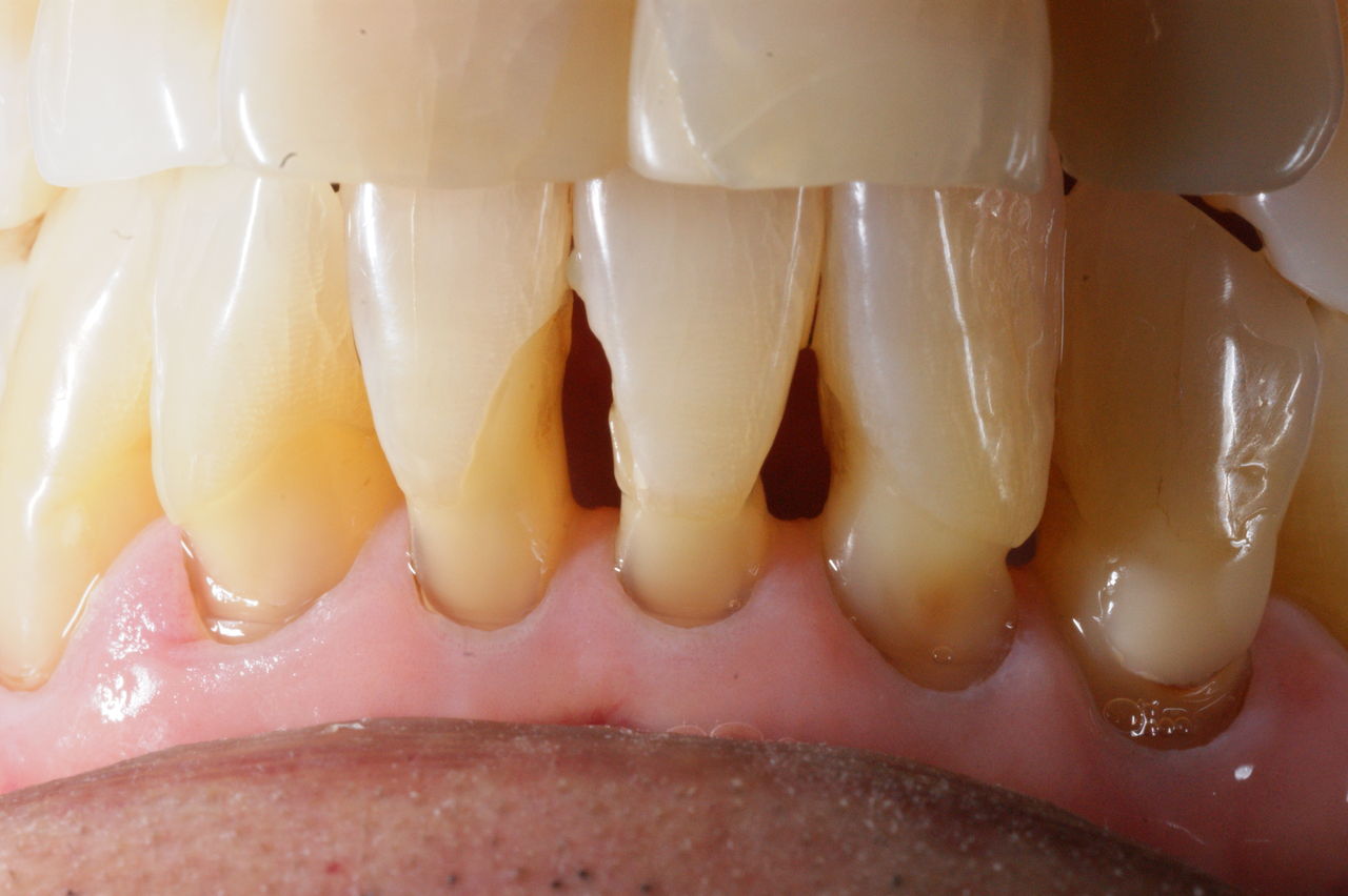
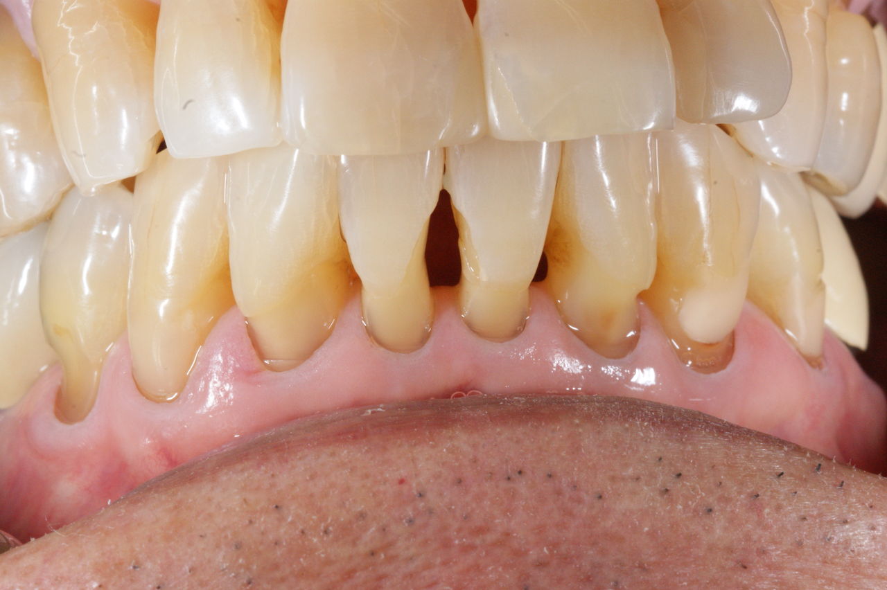
上に示したイラストと写真は見ての通り、過度で不適切な歯間ブラシによる歯の磨耗です。
私が日々の臨床の中で感じる、あまたある用件のひとつに、患者さんがどうしても楽な方に走りがちになるという問題があります。
もし物事が簡便に対処できしかも問題なく完結するなら(この場合歯周病を治したり予防できるという意味ですが)それにまさる方法はないでしょう。しかしながらそうはいかないのが物事の道理なのです。
歯間ブラシは、以前にも当ブログで取り上げたように、歯肉より上の歯の側面に限定した食渣の除去であり、歯周病治療の途上における一時的な使用、歯根分割した際の歯間部の清掃等、ごく限られた場合に有効な補助的清掃用具として、適切であると位置付けられます。
すなわち歯間ブラシは、常時使用の歯の清掃器具としては、決して主役になり得ないのです。(大)
コメント