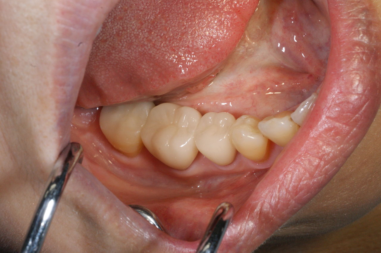
425.審美性 2019年06月21日 14:51 開口時、真っ先に金属歯が眼に入ります。 人工的な装着物が入っているのに、それを感じさせず、未治療の歯と調和して、自然に見えること。それが審美の審美たる所以ではないでしょうか!?(大) 「審美治療」カテゴリの最新記事 「修復治療」カテゴリの最新記事 < 前の記事次の記事 > コメント コメントフォーム 名前 コメント 評価する リセット リセット 顔 星 投稿する 情報を記憶
コメント