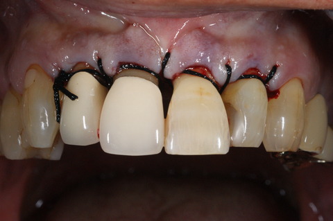
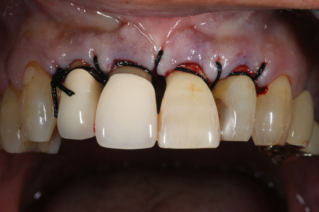
493.歯周外科(1) 2023年10月25日 15:30 この症例は歯を歯周病から救うために、やむなく外科処置を行って通常の歯石除去では取り切れない、歯周ポケット約8mmの原因になっている炎症性物質(歯垢、歯石,細菌、不良肉芽など)を廓清したものです。(大) 「歯周治療」カテゴリの最新記事 「外科処置」カテゴリの最新記事 < 前の記事次の記事 > コメント コメントフォーム 名前 コメント 評価する リセット リセット 顔 星 投稿する 情報を記憶
コメント