この症例は、2017.08.09.に掲載した『357.包括治療 (歯周、咬合、矯正、修復治療)Ⅰ』の続編です。

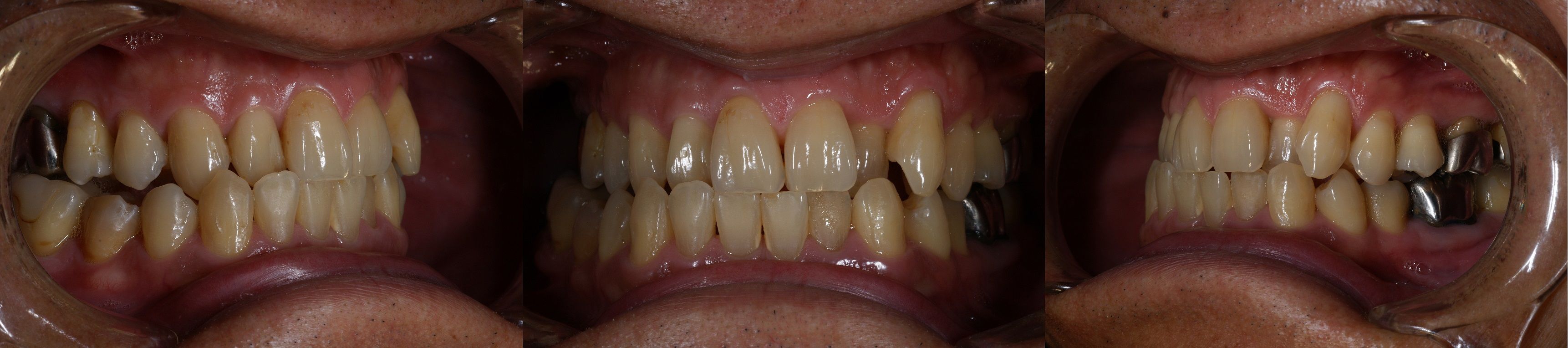
(初診時口腔内写真。これ以上のデータは実際に掲載されたブログでご確認下さい!)
前回のブログの概略を説明しますと、患者さんは初診時53才、男性、会社役員、右上臼歯部の違和感を主訴として来院。通法に従い精密検査終了後問題点を抽出したところ、全体的に歯周病が中~高程度に進行しており、特に咬合において鋏状咬合(Scissors bite)であることが原因となり主訴につながっていると診断。
右上の違和感が、歯周病と咬合の問題によるもので、主にその二点の解決なくして口腔の長期的な健康は得られないと説明したところ、患者さんの理解と同意を得、同時に治療の依頼あり診療を開始。
初期治療後、再評価すると歯周ポケットが(一歯につき六点法で)初診時4mm以上131ポイントが53ポイントに(保存不可能歯の抜歯あり)減少。患者さんに再度報告説明して理解を得、必要な歯周外科を四回にわたり施行。再評価すると歯周ポケットが13ポイントに減少。この時点での4mm以上の意味する処は診査時出血等の炎症因子もなく、歯周組織が治癒しつつある状態と判断し矯正治療に移行。
矯正治療終了後、模型を咬合器に付着し診断用ワクシングをしたところ、本来歯牙は咬合調整か小規模の修復処置で済めば極力そのまま使うのが理想ではあるが、長年の不正咬合とブラキシズムによる高度の磨耗のため、修復処置なしでは安定した咬合に基づく長期的な口腔内の健康は得られないとの判断に至る。
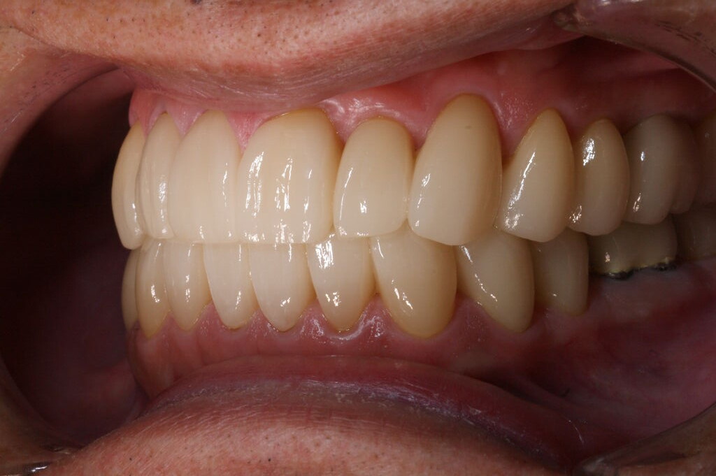
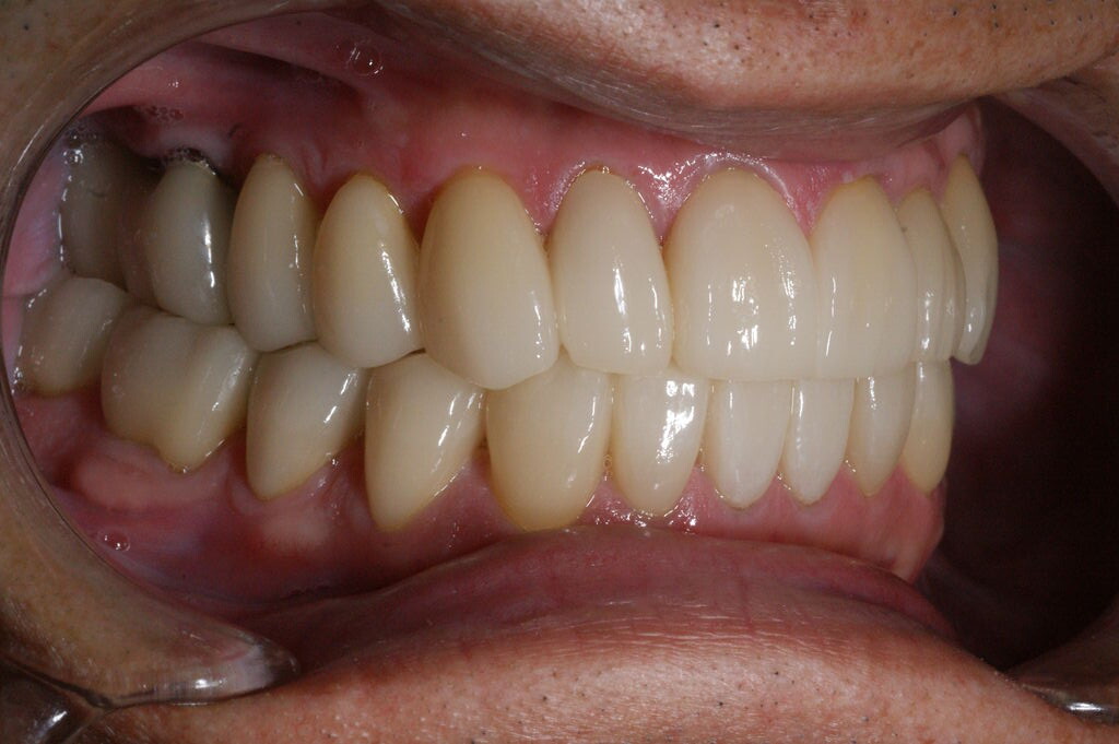
一口腔単位の長期的な健康維持のため、安定した咬合の確立と審美性の獲得を意図し全顎的修復処置を行う。(大)





(初診時口腔内写真。これ以上のデータは実際に掲載されたブログでご確認下さい!)
前回のブログの概略を説明しますと、患者さんは初診時53才、男性、会社役員、右上臼歯部の違和感を主訴として来院。通法に従い精密検査終了後問題点を抽出したところ、全体的に歯周病が中~高程度に進行しており、特に咬合において鋏状咬合(Scissors bite)であることが原因となり主訴につながっていると診断。
右上の違和感が、歯周病と咬合の問題によるもので、主にその二点の解決なくして口腔の長期的な健康は得られないと説明したところ、患者さんの理解と同意を得、同時に治療の依頼あり診療を開始。
初期治療後、再評価すると歯周ポケットが(一歯につき六点法で)初診時4mm以上131ポイントが53ポイントに(保存不可能歯の抜歯あり)減少。患者さんに再度報告説明して理解を得、必要な歯周外科を四回にわたり施行。再評価すると歯周ポケットが13ポイントに減少。この時点での4mm以上の意味する処は診査時出血等の炎症因子もなく、歯周組織が治癒しつつある状態と判断し矯正治療に移行。
矯正治療終了後、模型を咬合器に付着し診断用ワクシングをしたところ、本来歯牙は咬合調整か小規模の修復処置で済めば極力そのまま使うのが理想ではあるが、長年の不正咬合とブラキシズムによる高度の磨耗のため、修復処置なしでは安定した咬合に基づく長期的な口腔内の健康は得られないとの判断に至る。
一口腔単位の長期的な健康維持のため、安定した咬合の確立と審美性の獲得を意図し全顎的修復処置を行う。(大)




コメント