この症例は、2024.09.01.に掲載した『歯周病を治す!Ⅰ』の続編です。

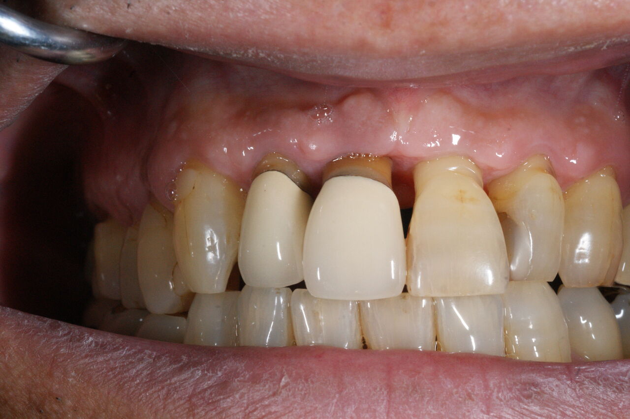
(歯周外科手術時口腔内写真。これ以上の資料は実際に掲載されたブログでご確認下さい!)
前回のブログの概略を説明しますと、患者さんは60歳、男性、会社員、上顎前歯部が普段はなんともないが、時々歯が浮き歯肉が腫れ噛みにくくなるものの、少しするとなおってしまう。
通法にしたがい、初期治療としてブラッシング、スケーリング、ルート プレーニングを行い、再評価したところ、歯周ポケットの深さが残った。浅くするには、原因となっている歯石を除去するための外科処置が必要であることを説明したところ、同意が得られ依頼されたので施行するに至った。


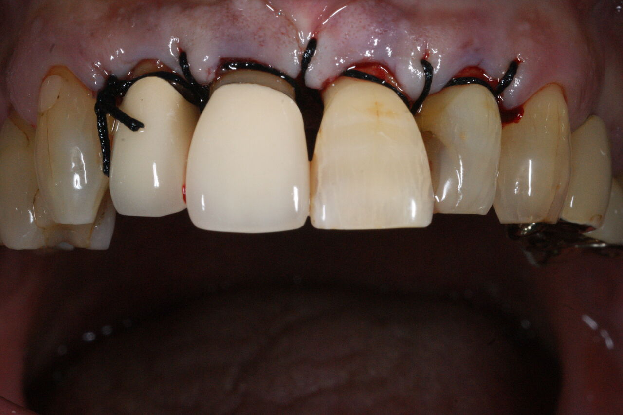
上図は手術時当該部位のデータと縫合時口腔内写真

5か月後再評価時口腔内写真

時系列のプロービング、ブリーディング、モビリティ(ポケット測定値、出血の有無、動揺度)
まだ5mmのポケットが残っているが、切歯乳頭の影響で測定値が深くなると思われる。測定時の出血、歯肉の発赤、腫脹等炎症性因子は認められない。
これをもって歯周病の治癒としメインテナンスにはいる。(大)

(歯周外科手術時口腔内写真。これ以上の資料は実際に掲載されたブログでご確認下さい!)
前回のブログの概略を説明しますと、患者さんは60歳、男性、会社員、上顎前歯部が普段はなんともないが、時々歯が浮き歯肉が腫れ噛みにくくなるものの、少しするとなおってしまう。
通法にしたがい、初期治療としてブラッシング、スケーリング、ルート プレーニングを行い、再評価したところ、歯周ポケットの深さが残った。浅くするには、原因となっている歯石を除去するための外科処置が必要であることを説明したところ、同意が得られ依頼されたので施行するに至った。


上図は手術時当該部位のデータと縫合時口腔内写真

5か月後再評価時口腔内写真

時系列のプロービング、ブリーディング、モビリティ(ポケット測定値、出血の有無、動揺度)
まだ5mmのポケットが残っているが、切歯乳頭の影響で測定値が深くなると思われる。測定時の出血、歯肉の発赤、腫脹等炎症性因子は認められない。
これをもって歯周病の治癒としメインテナンスにはいる。(大)
コメント