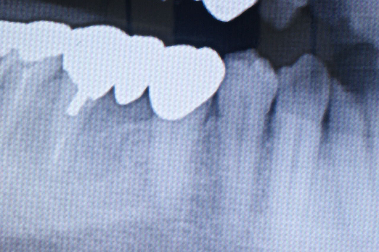
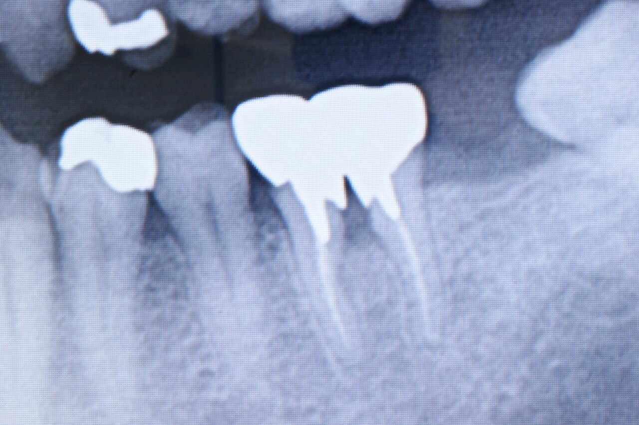
根分岐部とは、複根歯における根と根の間の枝分かれ部分を指します。
また根分岐部病変とは、本来健康であれば歯槽骨で満たされ支えられている筈の歯の根分岐部において、何らかの理由で骨吸収が起きている病態を意味します。
典型的な症状に、強く噛めない/ 時々歯が浮く/ 歯肉が腫れる/ 歯がしみる等が挙げられます。
さて治療法ですが、歯周治療が確立されている現在、以前なら抜歯もやむなしという風潮がありましたが、今では少しでも歯の寿命を延ばすためさまざまに工夫を凝らしより長く使えるようになりました。
今回は根分岐部病変としては比較的進行した場合の治療法を紹介します。
❶歯根分割:下顎大臼歯において、二本の根を分割し独立させて使うことで根分岐部病変を解消する方法。(10年経過)

❷分割抜歯→ブリッジ:二本の根のうち一本を抜去し、残りの根と隣在歯でブリッジにする方法。(9年経過)

❸分割抜歯→インプラント:二本の根のうち一本を抜去後、そこに植立したインプラントと連結固定する方法。(17年経過)

(大)
また根分岐部病変とは、本来健康であれば歯槽骨で満たされ支えられている筈の歯の根分岐部において、何らかの理由で骨吸収が起きている病態を意味します。
典型的な症状に、強く噛めない/ 時々歯が浮く/ 歯肉が腫れる/ 歯がしみる等が挙げられます。
さて治療法ですが、歯周治療が確立されている現在、以前なら抜歯もやむなしという風潮がありましたが、今では少しでも歯の寿命を延ばすためさまざまに工夫を凝らしより長く使えるようになりました。
今回は根分岐部病変としては比較的進行した場合の治療法を紹介します。
❶歯根分割:下顎大臼歯において、二本の根を分割し独立させて使うことで根分岐部病変を解消する方法。(10年経過)

❷分割抜歯→ブリッジ:二本の根のうち一本を抜去し、残りの根と隣在歯でブリッジにする方法。(9年経過)

❸分割抜歯→インプラント:二本の根のうち一本を抜去後、そこに植立したインプラントと連結固定する方法。(17年経過)

(大)
コメント